Daryana Martínez-Uribe Portfolio

About me

I am a biomedical engineer driven by a passion for AI and data science applications in medical technology. With a focus on innovation, I strive to create data-driven solutions that enhance healthcare and improve lives.

Skills

Data Science

I’m passionate about leveraging data to uncover patterns and build meaningful solutions. My work combines statistics, SQL, neural networks, and biomedical data to deliver impactful insights in healthcare.

Deep Learning

Experienced in designing neural networks for image classification and adaptive systems. Projects include pneumonia diagnosis from X-ray images and phobia exposure therapy using XR and biofeedback.

Python Programming

Confident writing clean, modular Python code for data analysis, machine learning, and biomedical signal processing. Comfortable using NumPy, pandas, scikit-learn, and more.

Frontend Development

I create responsive websites using HTML, CSS, JavaScript, and Bootstrap. Continuously improving my frontend skills through hands-on projects and bootcamps.

Machine Learning

Trained and evaluated ML models including logistic regression, k-means clustering, and decision trees. Comfortable working with structured datasets and sklearn workflows.

Biomedical Signal Processing

Worked with GSR, HR, and other biosignals for stress classification. Applied digital filters and data normalization techniques for reliable biofeedback systems.

Projects

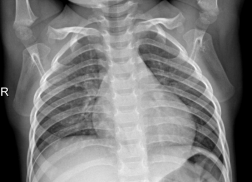
X-ray classification

A CNN model that classify chest X-ray images between healthy patients and those with pneumonia. Supporting the potential of AI-assisted diagnosis in radiology.

Stress classification

Real-time classification system that uses GSR and HR signals to evaluate stress levels. It integrates a LSTM model and controls an XR-based therapy environment.

Trade Analysis

Analysis and visualization about the evolution of medical device imports and exports in Mexico before, during, and after the COVID-19 pandemic.

Project that simulates the Pinterest homepage, using HTML and CSS.

To-do list web app that allows you to add tasks, mark them as complete, and remove them.

Research & Collaborations

Mirai Innovation Research Institute

Developed a therapy for phobia treatment using AR and biofeedback during the EmFuTech 2024 program.

Pan American Health Organization

Contributed to a research project on the import/export of medical devices in Mexico before, during, and after COVID-19 pandemic.

SOMIB – Sociedad Mexicana de Ingeniería Biomédica

Mentored healthcare prototypes for InnovaHealth Challenge 2023, ensuring regulatory compliance.

Courses & Certifications

Deep Learning Specialization – DeepLearning.AI

In progress (2 of 5 courses). Covers neural networks, CNNs, sequence models and more.

Data Science Professional Certification – IBM

In progress. Exploring data science fundamentals, Python, data manipulation, visualization, machine learning, and SQL.

Contact me

Let's get in touch if you want to do a new project with me!